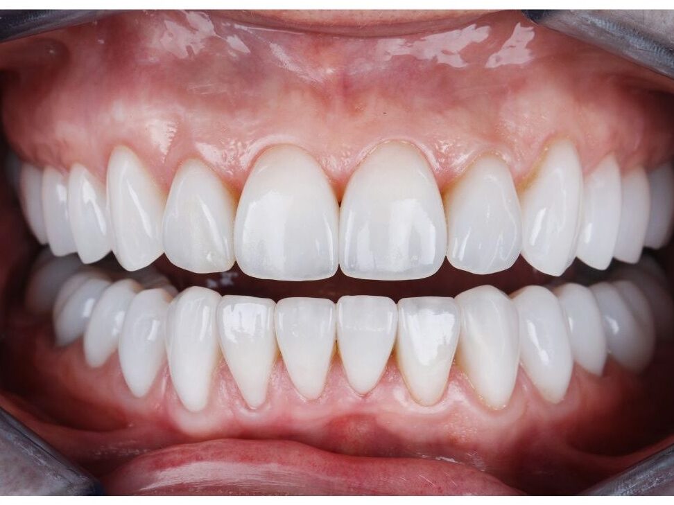
芸能人の白い歯って、見るたびに思わず目を引きますよね。彼らの美しい笑顔は、私たちの日常にも影響を与えています。では、芸能人の白い歯はどうやってやっているのか、私たちも気になります。実は、その秘訣はさまざまな方法に隠されています。
芸能人の白い歯はどうやってやっているの
芸能人が白い歯を持つ方法はいくつかあり、それぞれのメソッドが結果につながっています。以下のステップで、芸能人のような白い歯を手に入れる方法を確認しましょう。
- 定期的な歯科受診を行う。プロのクリーニングは歯の表面に付着した汚れや歯垢を除去。
- ホワイトニングを行う。自宅用キットや歯科医院でのホワイトニングを検討。
- 特定の食べ物を避ける。コーヒーや赤ワインなど、色素の強い飲食物は控える。
- 白い歯専用の歯磨き粉を使用する。歯の着色を防ぎ、白さを保つために特化した製品を選ぶ。
- フッ素を含む製品で強化。エナメル質を保護し、健康的な歯を促進。
- 口腔内の衛生状態を保つ。歯間ブラシやフロスを使って食べかすを取り除く。
- 水分を十分に摂る。十分な水分補給は口腔内を健康に保つ。
ホワイトニングの方法
芸能人の白い歯を手に入れるには、ホワイトニングが効果的です。主に二つの方法があります。歯科医院でのホワイトニングと自宅でのホワイトニングです。それぞれの手順を詳しく見ていきましょう。
歯科医院でのホワイトニング
- 歯科医院を予約する
- 近くの歯科医院を探し、ホワイトニングの施術が可能か確認。
- 診察を受ける
- 医師に口内の状態を見てもらい、ホワイトニングに適しているか確認。
- 施術の説明を受ける
- ホワイトニングの方法や効果、副作用などを詳しく聞く。
- 施術を受ける日を決める
- スケジュールを合わせ、実際の施術日を設定。
- ホワイトニングを実施する
- 専門知識を持つスタッフの指導の下、施術を受ける。
- アフターケアの指示を受ける
- 施術後のケア方法や注意点を説明してもらう。
自宅でのホワイトニング
- ホワイトニングキットを準備する
- 自宅用のホワイトニングキットを購入。信頼できるブランドを選ぶ。
- 使用方法をよく読む
- 付属の説明書をしっかり確認し、手順を理解。
- 歯磨きを行う
- 施術前に歯を丁寧に磨く。
- ホワイトニング剤を塗布する
- 指定された量と方法で、ホワイトニング剤を歯に塗る。
- 指定時間待つ
- 鏡の前で、指定された時間しっかり待つ。
- 口をゆすぐ
- 指示に従って、ホワイトニング剤をしっかり洗い流す。
- 定期的に行う
- 結果を保つために、定期的にホワイトニングを行う。
芸能人の歯の美しさ
定期的な歯のメンテナンスとケアが芸能人の白い歯の秘訣です。美しい歯を手に入れるには、具体的なステップを踏むことが重要です。以下に、メンテナンスとケアの手順を示します。
メンテナンスとケア
- 定期的に歯科医院を訪れる:半年に一度の定期検診で、専門家から歯のチェックを受けます。
- プロのクリーニングを受ける:歯科医院でのクリーニングは、口腔内の健康を保つために重要です。
- ホワイトニングを検討する:自宅用キットや歯科医院での施術を選ぶことができます。
- 白い歯専用の歯磨き粉を使用する:通常の歯磨き粉では得られない効果があります。
- フッ素製品を使う:エナメル質の強化には、フッ素を含む製品が役立ちます。
- 日常的に口腔衛生を保つ:毎日歯を磨き、フロスを使用してプラークを除去します。
- 水分を十分に摂る:口腔内の乾燥を防ぎ、歯の健康を維持します。
影響力のある美しい歯
美しい歯は、自己信頼や社会的評価に影響を与えます。芸能人やモデルなど、視覚的に注目される職業の人々にとって、歯の美しさは特に重要です。彼らの魅力的な微笑みは、ポジティブな印象を与え、人間関係を円滑にします。以下に、美しい歯がもたらす影響を示します。
- 自信の向上:美しい歯は、見た目に対する自信を高めます。
- 人間関係の改善:好印象を与えることで、他者との関係が良好に保たれます。
- 職業的な成功:特に視覚的な職業では、美しい歯が有利に働きます。
コストについて
芸能人が白い歯を維持するためには、さまざまなコストが関係します。ここでは、その具体的な要素を見ていきます。
- 定期的な歯科受診:予防的なケアや治療には、年に数回の訪問が推奨されています。これにかかる費用は、医療機関ごとに異なりますが、一般的には1回あたり5,000円から15,000円です。
- プロフェッショナルなクリーニング:歯科医によるクリーニングが定期的に必要です。これにより、プラークや歯石が取り除かれ、美しい白さを保てます。料金はおおよそ6,000円から20,000円です。
- ホワイトニング:歯科医院でのホワイトニング施術は、1回あたり20,000円から50,000円が相場です。自宅用キットも存在し、こちらは5,000円から15,000円で購入可能です。
- 特殊な歯磨き粉:白い歯を維持するための特殊な歯磨き粉に、1,000円から3,000円の費用がかかります。定期的に使用することで、効果を持続させることができます。
- フッ素製品:エナメル質を強化するためのフッ素が含まれた製品は、1,000円から2,500円で購入可能です。これらの製品は長期的な投資になります。
- 水分摂取:適切な水分を摂取することも重要です。飲料水や口腔衛生に関連する食品のコストが月々の予算に影響します。毎月の合計は3,000円から5,000円程度です。
ホワイトニングのリスク
ホワイトニングは、多くの人が白い歯を手に入れるために選ぶ方法です。しかし、リスクも伴います。以下に、具体的なリスクを示します。
- 歯の感受性の増加:ホワイトニング剤によって、歯が一時的に敏感になることがあります。冷たい飲み物や食べ物がしみることがあるため、注意が必要です。
- 歯肉の刺激:ホワイトニング剤が歯肉に触れることで、炎症や痛みを引き起こす場合があります。この場合は、使用を中止すべきです。
- 不均一な色むら:施術方法や使用する製品によって、歯の色が均一にならないことがあります。予想外の仕上がりになる可能性があるため、プロの推奨を考慮することが重要です。
- エナメル質の損傷:過度のホワイトニングは、エナメル質を傷めることがあります。エナメル質の損傷は、虫歯のリスクを高める可能性があります。
- 長期的な健康影響:一部のホワイトニング成分が体に与える影響については、まだ十分な研究が行われていません。特に自宅用製品の選択には注意が必要です。
Conclusion
芸能人の白い歯は、私たちが思う以上に多くの努力と投資によって支えられています。定期的な歯科受診やプロのクリーニングが鍵となり、日常的なケアも欠かせません。ホワイトニングの選択肢も豊富で、自宅で手軽に行える方法から専門的な施術まで様々です。
美しい歯は自己信頼を高めるだけでなく、社会的な評価にも大きく影響します。私たちも自身の歯を大切にし、健康的で白い歯を目指すためのステップを踏んでいきましょう。長期的な視点でのケアが、理想の笑顔を手に入れるための近道です。
